English
Deutsch
Français
Smile Clinic
because smile is success
+36 1 445 0004
+36 30 291 7500
info@dentalangels.hu
Send email
Call
FaceLift
Clinique
Pourquoi choisir la Clinique Dental Angels ?
Témoignages de nos patients
L'environnement
Déclaration légale
Nos partenaires
Galerie de photos
Vacances dentaires
Nos experts
Dentiste
Assists
Reception
Manager
Traitements
Diagnostic dentaire
Les implants dentaires
Prothèse All-on-4
Chirurgie buccale
Extraction dentaire
Les couronnes
Les bridges dentaires
Les dentiers/prothèses
La dévitalisation de la dent
Les plombages
Inlay / Onlay fr
Les facettes céramiques
Les facettes dentaires
Parodontie
L’orthodontie invisible
L’orthodontie CFast
Le bruxisme
L’esthétique du visage
Le détartrage
Le blanchiment dentaire
Nos tarifs
Garantie
Nos tarifs
Forfaits touristiques dentaires gratuits
Payment options
Offres spéciales
Contact
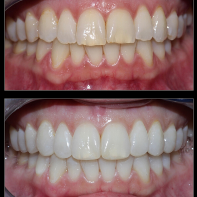
Avant – après
Si vous avez des questions supplémentaires, n'hésitez pas à nous contacter!
Rappelez-moi
+36 1 445 0004
+36 30 291 7500
info@dentalangels.hu